Báo Thời Đại - Có 2,905 kết quả
tìm kiếm cho từ khóa "Thanh niên". Chúc bạn tìm được nội dung mong muốn trên https://tacnghiep.thoidai.com.vn/
Video: Thanh niên biến chiếc Bentley Continental GT thành... xe tăng
Chiếc Bentley Continental GT đã bị phá toàn bộ các chi tiết cũ để biến thành một loại ô tô lai với xe tăng, vượt mọi địa hình.
Phát huy vai trò của thanh niên tại phiên họp của Hội đồng bảo an Liên hợp quốc
Ngày 27/4, Đại sứ Đặng Đình Quý, Trưởng Đại diện Phái đoàn Thường trực Việt Nam tại Liên hợp quốc (LHQ) đã kêu gọi tăng cường hợp tác quốc tế về thanh niên và phát huy vai trò của các tổ chức khu vực.
Tìm thấy 2 thanh niên nghiện ma túy bỏ trốn khỏi khu cách ly ở Tây Ninh
2 thanh niên nghiện ma túy trốn khỏi khu cách ly Trung tâm y tế huyện Bến Cầu trước đó đã được tìm thấy và đưa vào cách ly tập trung.
Video: Thanh niên mặc áo Grab "diễn xiếc" trên xe máy phóng tốc độ cao
Thanh niên mặc áo Grap điều khiển xe máy mang BKS: 59G2: 227xx liên tục thả 2 tay và nhún người một cách nguy hiểm trên đường.
Nam thanh niên giở trò đồi bại với cô gái lang thang đã ra đầu thú
Tối 18/4, Trương Gia Huy (21 tuổi, ngụ quận 10, TP.HCM), nghi phạm giở trò đồi bại với một cô gái có biểu hiện tâm thần, lang thang ở phường 11 (quận 5) đã ra đầu thú.
Video: Thanh niên hùng hổ cầm điếu cày định đánh người bị bác bảo vệ hạ gục
Nam thanh niên bị bác bảo vệ lớn tuổi dùng võ vật ngã và khống chế sau khi kẻ này hùng hổ cầm điếu cày định đánh người.
Tin pháp luật 24h nóng nhất hôm nay (19/4): Truy tìm nam thanh niên mặc áo xe ôm công nghệ giở trò đồi bại với cô gái lang thang
Tin pháp luật 24h nóng nhất hôm nay (19/4): Truy tìm nam thanh niên mặc áo xe ôm công nghệ khống chế, giở trò đồi bại với cô gái lang thang; đang đi cùng vợ, nam thanh niên bất ngờ nhảy cầu tự tử.
Long An: Bắt nhóm thanh niên giả công an cướp thuốc lá nhập lậu
Nhóm thanh niên này thuê ô tô 7 chỗ chạy về hướng huyện Đức Hòa, tỉnh Long An để tìm đối tượng buôn lậu thuốc lá lậu chặn đường cướp.
Video: Nam thanh niên đi xe máy dùng chân đẩy ô tô giữa phố Hà Nội
Chiếc ô tô chết máy nên tài xế mới nhờ chàng trai đi xe máy đẩy tới nơi sửa chữa gần nhất, nhưng đây là hành vi vi phạm luật giao thông.
Tin tức trong ngày 14/4 mới nhất: Thanh niên trốn truy nã bị phát hiện trong khu cách ly Covid-19
Tin tức trong ngày 14/4 mới nhất có những tin đáng chú ý như sau:
9X trốn truy nã bị phát hiện trong khu cách ly Covid-19, nam thanh niên người Đức trốn khỏi khu cách ly Covid-19, Việt kiều Campuchia về chịu tang cha, gần 190 người phải cách ly.
Gần 100 thanh niên tụ tập đua xe, lao vào tổ công tác khiến 1 chiến sĩ công an bị thương
Gần 100 thanh thiếu niên trên 60 xe máy chạy với tốc độ cao, lạng lách đánh võng, gây rối trật tự công cộng, dàn hàng ngang hò hét trên đường, khi có hiệu lệnh dừng, một đối tượng đã lao thẳng vào tổ công tác khiến 1 chiến sĩ cảnh sát cơ động bị thương nặng.
Tạm giữ 11 thanh niên mở "tiệc ma túy" mừng sinh nhật trong quán karaoke
Tiến hành kiểm tra quán karaoke Siliver Star, lực lượng chức năng tỉnh Thanh Hóa phát hiện 11 thanh niên đang tụ tập hát karaoke và sử dụng ma túy trái phép.
Video: Hãi hùng nam thanh niên... nằm trên xe máy tạt đầu ô tô
Pha tạt đầu chưa từng thấy của nam thanh niên khi người này nằm trên xe máy, vọt qua đầu ô tô trên đường.
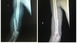
Chơi vật tay với bạn, nam thanh niên bị gãy xương cánh tay
Đang gắng sức vật tay người bạn mình, nam thanh niên 19 tuổi bỗng nghe thấy tiếng “rắc” kèm theo cơn đau nhói ở cánh tay và không thể cử động.
Nam thanh niên 27 tuổi bị khởi tố vì tung tin có người chết vì Covid-19
Một nam thanh niên 27 tuổi ở Lâm Đồng bị khởi tố vì tung tin Đà Lạt có 2 người nhiễm Covid-19, 1 người tử vong do dịch bệnh này.
Nhóm thanh niên trốn cách ly đi dự sinh nhật bạn bị phạt 14,5 triệu đồng
Mặc dù biết đang trong diện bị cách ly, nhưng tối 5/4 nhóm thanh niên đã rủ nhau trốn cách ly đi dự sinh nhật bạn, đến sáng 6/4, khi đang trên đường trở về thì bị lực lượng kiểm soát dịch bệnh phát hiện, xử lý.
Bắt giữ 2 thanh niên lái xe ô tô, mang theo súng điện đi trộm chó
Hai đối tượng đã dùng ô tô mang biển số giả mang theo súng điện trộm 14 con chó của người dân.
Thanh Hóa: Trốn cách ly tại nhà, 4 thanh niên thuê ô tô đi dự tiệc sinh nhật
Thuộc diện tự cách ly tại nhà nhằm phòng ngừa Covid-19, nhưng 4 thanh niên ở huyện Lang Chánh (Thanh Hoá) lại trốn và thuê xe ô tô đi dự tiệc sinh nhật ở một huyện khác.
Ra đường tìm quán game, 5 thanh niên bị xử phạt
5 thanh niên đang lang thang tìm quán game để chơi thì bị Công an phường Văn Quán (quận Hà Đông) phát hiện và đưa về trụ sở để xử phạt.
Video: Nam thanh niên đầu trần vượt đèn đỏ và cái kết "thảm khốc"
Nam thanh niên bị container đâm văng sau đó 1 container khác cán tử vong tại chỗ, sau khi nạn nhân cố tình vượt đèn đỏ với tốc độ cao.
Đọc nhiều
Xe buýt Hà Nội tăng 29 tuyến mỗi ngày phục vụ Tết
TĐO - Tổng Công ty Vận tải Hà Nội (Transerco) cho biết sẽ tăng cường thêm 29 xe buýt/ngày tại 22 tuyến buýt để sẵn sàng tăng cường giải tỏa khi lượng hành khách tăng đột biến vào dịp Tết Nguyên đán Đinh Dậu 2017.
Thư chúc Tết Giáp Thìn của Chủ tịch Liên hiệp các tổ chức hữu nghị Việt Nam
Thay mặt Đoàn Chủ tịch Liên hiệp các tổ chức hữu nghị Việt Nam, tôi xin chân thành gửi đến những người làm công tác đối ngoại nhân dân, bạn bè, đối tác cùng toàn thể quý bạn đọc của Tạp chí Thời Đại những lời chúc mừng tốt đẹp nhất nhân dịp Xuân Giáp Thìn!
Hà Nội mưa lạnh kéo dài, độ ẩm tăng cao đến 98%
TĐO - Theo Trung tâm khí tượng thủy văn Trung ương, hôm nay (17/3), Bắc Bộ vẫn còn mưa, tại Hà Nội có mưa nhỏ, thời tiết ẩm ướt, độ ẩm từ 75 - 98%.
Hà Nội triển khai hệ thống giao thông thông minh 10 chức năng
Hệ thống giao thông thông minh cùng lúc tích hợp 10 chức năng về điều hành, quản lý sẽ được Hà Nội và Công ty Cổ phần FPT xây dựng.
Bờ cõi biển đảo
Miền đất - Con người Cuộc sống vùng biên Nhịp sống biển đảo Lịch sử chủ quyền Giao lưu hữu nghị
Khách hàng lái thử VF MPV 7: Xe chở đủ 7 người mà tăng tốc cực nhẹ, êm ái hơn hẳn xe xăng
Khả năng tăng tốc mượt mà, vận hành êm ái, khoang lái rộng rãi bất ngờ là những ưu điểm nổi trội giúp VF MPV 7 chinh phục hoàn toàn người dùng Hà Nội chỉ sau vài phút lái thử.
Thủ tướng Phạm Minh Chính tiếp Đại sứ Nhật Bản tại Việt Nam
Sáng 29/3, bên lề Hội nghị xúc tiến đầu tư tỉnh Thanh Hoá năm 2026, Thủ tướng Chính phủ đã tiếp Đại sứ Nhật Bản tại Việt Nam Ito Naoki.
Tìm kiếm Sứ giả tiếng Việt ở nước ngoài
Chiều 28/3, tại Hà Nội, Ủy ban Nhà nước về người Việt Nam ở nước ngoài (Bộ Ngoại giao) tổ chức Lễ phát động Ngày Tôn vinh tiếng Việt trong cộng đồng người Việt Nam ở nước ngoài và Chương trình Tìm kiếm Sứ giả tiếng Việt ở nước ngoài năm 2026.



